A patient asked for the option to save her teeth that were scheduled for extraction by another dentist. The lower left first and second molars had high mobility (grade 2), were necrotic, with significant probing depths in the buccal aspect. The teeth were diagnosed for endo/perio treatment. Difficulties with this case included complex radicular anatomy, long anatomical measurements (26 and 27 mm respectively for #36 and 37) and the presence of a deep vertical bone loss in the buccal aspect.
After scaling and root planning, the teeth were scheduled for root–canal therapy.
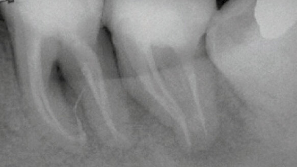
Before treatment: PIPs
Before each treatment the PIPS™ technique was applied into the periodontal pockets of each tooth for refining the debridement, removal of biofilm from the root surfaces and pocket disinfection.
The root canal treatments were performed using PIPS–specific irrigation protocols with 5 percent NaOCl and 17 percent EDTA.
Obturation with resin sealer
The canals were obturated with a flowable resin sealer (Endoreze Ultradent, South Jordan, Utah) and gutta–percha points. A final treatment of the pockets using PIPS for disinfection was performed after completing each root canal therapy to remove any extruded sealer or residual biofilm.
No post–op symptoms were reported and the mobility of the teeth progressively disappeared up to grade 0. The follow-up X–rays performed after one and four months showed healing in progress for both the teeth. Lightwalker AT laser device with contact H14–C handpiece and PIPS fiber tip was used for the treatment.
The Lightwalker parameters are: laser source: Er:YAG; wavelength: 2940 nm; pulse duration: SSP; energy: 15 mJ; frequency: 15 Hz.
embedImagecenter("Imagecenter_1_2135",2135, "large");
About the author, disclosures
Olivi is an adjunct professor of endodontics at the University of Genoa School of Dentistry and a board member and professor in its master course in laser dentistry. He has relationships with several laser companies (including AMD-DENTSPLY, Biolase and Fotona) but receives no financial compensation for his research or for writing articles. Contact him at olivilaser@gmail.com.
Live webinar
Mon. 11 May 2026
12:00 PM EST (Toronto)
Live webinar
Mon. 11 May 2026
1:00 PM EST (Toronto)
Live webinar
Tue. 12 May 2026
1:00 PM EST (Toronto)
Live webinar
Thu. 14 May 2026
12:00 PM EST (Toronto)
Live webinar
Thu. 14 May 2026
2:00 PM EST (Toronto)
Prof. Hani Ounsi DDS PhD FICD
Live webinar
Tue. 19 May 2026
11:00 AM EST (Toronto)
Live webinar
Tue. 19 May 2026
1:00 PM EST (Toronto)
Prof. Dr. med. dent. Ivo Krejci
To post a reply please login or register