Caries detection around the margins of restorations is a major challenge in clinical practice. Typically, the restorative material will impede the detection system from accurately examining the margins for caries. However, The Canary System, powered by an energy conversion technology (PTR-LUM), provides the solution. The Canary System directly examines the status of the tooth crystal structure.
Rapid, safe pulses of laser light combining infrared and luminescence allow users to examine lesions as small as 50 microns and subsurface caries up to 5 mm below the tooth surface or along the margin of composites and amalgams.
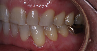
Detection of caries around the margins of a Class V amalgam restoration can be a challenge. Figures 2 and 3 illustrate a patient who was at very low risk for developing caries. The existing restoration was placed more than 30 years ago; the margins were intact; oral hygiene was excellent; and no restorations had been placed or replaced in the last 15 years. Radiographs could not image the restoration margins and the amalgam restoration on the buccal or occlusal part of the tooth may have created a silver stain or halo around the margin. The Canary Number of 76 from scanning around the margin indicated advanced caries around the restoration. Upon removal of the amalgam, a large carious lesion was found extending well beyond the margins of the restoration. Therefore, the subsurface caries that would have otherwise gone undetected, possibly requiring a root canal, successfully detected by The Canary System by examining for decay around the margins of this restoration.
Research shows that PTR-LUM technology used in The Canary System can detect:
- Occlusal pit and fissure caries [1-3]
- Smooth surface caries [4,5]
- Acid erosion lesions [6,7]
- Root caries [8,9]
- Interproximal caries lesions [10,11]
- Demineralization and remineralization of early caries lesions [12-15]
embedImagecenter("Imagecenter_1_689",689, "large");
The Canary System captures both signals and images of the tooth surfaces being examined. These images are displayed on an accompanying interactive, touch-screen monitor for immediate chairside review with the patient who can also take home a printed Canary Report. The Canary System creates an opportunity for dialogue and co-diagnosis, two strong motivators for a new long-term, recurring patient relationship. Odontograms also are added to patients’ files so treatment progress can be monitored over time. The data is saved on the Canary computer, and merged into detailed user-friendly reports.
These unique characteristics of The Canary System provide a clinical practice with the ability to monitor the entire spectrum of the caries process; from initial demineralization to caries beneath pits and fissures and around restoration margins. The Canary System will enable a practice to provide preventive minimally invasive oral health care.
Note: Dr. Stephen Abrams is the CEO and co-founder of Quantum Dental Technologies, which has developed The Canary System mentioned in this article. He has not received any compensation for the preparation of this article.
Note: This article was published in Dental Tribune Canada Edition, Vol. 4 No. 3, May 2012. A complete list of references is available from the publisher.
TORONTO, Ontario, CANADA: As dental practices start to open up to treat patients during the COVID 19 pandemic, the various regulatory bodies have provided ...
TORONTO, CANADA: Quantum Dental Technologies (QDT), a medical device company, became the first Canadian business to win the National Instruments (NI) ...
MONTREAL, Quebec, CANADA: At AAE19, the annual session of the American Association of Endodontsts, held April 10 to 13, Sonendo announced it is launching ...
When we think of artificial intelligence (AI), our minds often conjure up images of sentient humanoid robots from iconic science fiction films like 2001: A ...
Extraction versus non-extraction treatment in orthodontics has been a matter of controversy since the beginning of the specialty. Edward H. Angle debated, ...
BURNABY, British Columbia, Canada: In recent years, patient preferences for fixed restorations have driven significant growth in both the US and European ...
Three-dimensional diagnostic vision in dental radiography is making waves in dentistry around the world. With multiple indications, we lack clarity with ...
To make the wait for ROOTS SUMMIT 2024 a little sweeter, the organisers would like to spotlight some of the speakers for next year’s edition, which will ...
VANCOUVER, British Columbia, Canada: A stroll through the Exhibit Hall at the 2017 Pacific Dental Conference revealed aisle after aisle of dental ...
OTTAWA, Ontario, CANADA: The Canadian Academy of Pediatric Dentistry (CAPD/ACDP) is using its annual meeting this year to focus on commonly encountered but ...
Live webinar
Thu. 14 May 2026
12:00 PM EST (Toronto)
Live webinar
Thu. 14 May 2026
2:00 PM EST (Toronto)
Prof. Hani Ounsi DDS PhD FICD
Live webinar
Tue. 19 May 2026
11:00 AM EST (Toronto)
Live webinar
Tue. 19 May 2026
1:00 PM EST (Toronto)
Prof. Dr. med. dent. Ivo Krejci
Live webinar
Wed. 20 May 2026
7:00 AM EST (Toronto)
Dr. Graham Carmichael BDSc (Hons), DClinDent (Pros), FRACDS, Dr. Robert Gottlander DDS
Live webinar
Wed. 20 May 2026
9:00 AM EST (Toronto)
Live webinar
Wed. 20 May 2026
1:00 PM EST (Toronto)
Prof. Dr. med. dent. Tim Joda PhD, MSc, eMBA
To post a reply please login or register