The existence and preservation of attached keratinized gingiva around natural teeth and dental implants plays an important role in periodontal[1] and peri-implant health.[46,47] This article describes a novel surgical technique that addresses multiple adjacent Miller Class II and III recession defects[5] in a predictable one-staged surgical procedure. The goals of treatment are to improve esthetic outcomes and gain clinical attachment and keratinized tissue levels in addition to possible root coverage.
A combination of traditional periodontal plastic procedures is used, following sound, evidence-based techniques. To date, more than 100 surgical cases have been completed. Surgical steps and rationale for this new technique are detailed here, and representative cases are shown (Figs. 1–12).
Introduction
As many epidemiological reports suggest, gingival recession affects the majority of the adult population.[2,3] Gingival recession is defined as the apical migration of the soft-tissue margin around teeth leading to exposure of the cementoenamel junction (CEJ) and the dentinal root surface4 and is classically categorized by Miller.[5,6] The philosophy for increasing the zone of keratinized tissue for teeth is for attachment stability, facilitation of plaque control and to prevent further gingival recession from frenal/muscle pulls.[6,7]
Periodontal plastic procedure articles in the literature evidentially demonstrate very predictable and esthetic root coverage in the majority of Miller Class I and II single- or adjacent-tooth sites with and without the adjunct of a subcutaneous connective tissue graft (SCTG).[3,7] This holds true irrespective of surgical technique(s) used, i.e., pedicles, tunnels, coronally positioned flaps (CPF), guided-tissue regeneration (GTR), etc., provided that biologic principles for obtaining root coverage are satisfied, i.e., interproximal papillary height and interseptal bone height.
Additionally, the results of long-term clinical retrospective studies in private practice demonstrate that not only is there effective root coverage but mean root coverage tends to improve over time after initial surgery.[8] In acellular dermal matrix and GTR studies over the short and long term, neither showed a statistically significant increase in root coverage compared with the use of autogenous tissues.[9,10] More recently, the literature also shows clinical cases of inexplicable root resorption in SCTG cases performed in a traditional manner.[47,48] In contrast, the presence of multiple recessed sites in a posterior sextant that have advanced recession beyond Miller Class I/II, presents a clinical conundrum that has not been addressed until recently in the literature of periodontics[3,11,12] and clinical periodontal practice. Nevertheless, the goal of periodontal therapy should be to address the needs and wishes of each patient, and treatment options should be made available to each patient accordingly.[13]
Recession in multiple adjacent teeth can occur for a variety of reasons: the patient’s iatrogenic habits; history and/or treatment of chronic periodontal disease by traditional flap therapy; anatomy/malpositioned teeth in the alveolar ridge corridor compromising attachment apparatus; muscle/frenal attachment levels at or beyond the mucogingival junction (MGJ); secondary parafunctional habits; and the obvious long-standing results of a history of chronic untreated periodontal disease.
A two-staged surgical procedure — free gingival graft (FGG) plus surgical repositioning coronally positioned flap (CPF)[12,14] — can aid individual sites in some Miller II/III recessed areas. These surgical sites that have experienced two surgeries are prone to double the postoperative surgical shrinkage, fibrotic scar tissues and morbidity.[30] Patients also report discontent with this two-surgery treatment option because of increased costs, healing time, work absences and scheduling issues. In difficult economic times, the dental profession must streamline treatment options for patients but still continue to deliver excellent surgical skills and subsequent clinical benefit. No treatment options are available in posterior sextants with multiple recessed Miller Class II/III sites that have a lack of adequate keratinized and attached gingiva regardless of if the adjacent papillae is affected. As such, an effort has been made to fill this void with a corrective surgical procedure able to stabilize progressive recession with the added benefit of some root coverage in Miller III recessions.[11]
Inclusion criteria for single-stage CPF/FGG
Patients eligible for the one-stage CPF/FGG procedure included those with:
- No health issues as a contraindication for periodontal surgery.
- Presence of at least two to three adjacent teeth with Miller Class II/III facial recession with a frenal/ligamental attachment deemed to be playing a role in creating a stable gingival margin.
- Chief complaint of impaired esthetics associated with the recession.
- Absence of anatomical defects, caries or restorations needed in the site.
- No periodontal surgical treatment of the involved sites during the previous 24 months.
- Adequate oral hygiene.
- Non smokers.
Procedure
Patients chosen exhibit posterior sextants of recession with interproximal bone loss (Miller II or III) and encroachment of gingival recession on the MGJ, commonly with frenal pulls and muscle attachments, which may or may not have played a role in the etiology of attachment loss but will play a role on the success and stability of surgical treatment to resolve progressive recession.[15,49]
A modified one-staged FGG + CPF[12,14] surgical approach is suggested: Implementing Sumner’s full-thickness envelope[16] and Sorrentino and Tarnow’s[17] semilunar procedure augmented with a traditional FGG[18] apical to the coronally positioned semilunar flap is suggested. This combination procedure proposes to inhibit the coronal reattachment of the musculature and freni, which can play havoc with graft stability in the long term,[49] in addition to increasing the zone of keratinized and attached tissues. Results showed that most Class III recessed cases even showed some root coverage in addition to an ample gain in keratinized and attached tissues.[11,12]
The first incision was performed by the Er,Cr:YSGG laser (with appropriate soft-tissue settings due to its known properties of hemostasis). The T4 laser tip incises precisely at the MGJ in a contact/non-contact manner depending on the extent of fibrous and ligamentous frenal attachment to make a split-thickness-incision release of all musculature/fibres prior to reaching the periosteum. All elastomeric fibres are thus incised and denatured at the MGJ.
This allows the mucosa to apically relax, laying passively, extending the vestibular region without causing any tension on the future graft’s recipient surgical site. Rarely was vestibular suturing needed for hemostasis in the region unlike with a traditional blade incision. Resorbable 4-0 gut sutures are used in the vestibule for this purpose.
embedImagecenter("Imagecenter_1_2575",2575, "large");
Dentinal root preparation is done in a conservative manner if the anatomy is deemed to be inhibitory to coronal-flap positioning and stability (i.e., in root abrasion, horizontal grooving, caries cases, etc.). The root surfaces are traditionally modified with root planing to remove calculus, plaque, debris and to create a flat/convex architecture; and they are etched with the hard-tissue setting with the Er,Cr:YSGG at the coronal gingival margins prior to suturing of the coronal flap.
The second incision is the release of the coronally attached keratinized tissues incised as an envelope flap[19] from the sulcus in a full-thickness manner[20] with microsurgical blades — without the use of vertical incisions on the facial aspect and split thickness in the papillary regions. The flap is coronally positioned with vertical mattress interrupted sutures using 6-0 non-resorbable monofilament microsurgical sutures. Once the coronally placed flap is secure, then the soft-tissue laser setting of the Er,Cr:YSGG allows gingivoplasty/gingivectomy via microplastiying of the marginal tissue outline and adaptation of the marginal papillary regions of the gingival margins.
An ideal scalloping in the manner of a “paintbrush” stroke of the laser tip allows the coronal architecture of the free gingival margin (FGM) adjacent to the teeth to adapt the marginal tissues precisely. This gingivoplasty allows the whole site to have a more finessed marginal gingival adaptation and contoured appearance against the dentition. The whole coronally positioned tissue is still attached with its mesial and distal blood supplies intact and is now fixed with interproximal sutures, gaining blood supply from the split-thickness papillae and the alveolar bone beneath it. The coronally positioned tissue is immobile and well adapted interproximally to have the best chance of blood vessel anastomoses, but at the apical aspect it lays passively on the periosteal bed.
The donor FGG is then placed apical to the coronally positioned flap onto the periosteum and alveolar bone, which has been cleared of any elastomeric fibres and sutured with resorbable interrupted 6-0 sutures, which engages the periosteum and the apical aspect of the CPF, binding the coronal aspect of the donor FGG down. This creates immobility and no dead space — to ensure the best blood supply.
The Er:YSGG laser is used at appropriate settings to actually “weld” and plasty the donor FGG with paintbrush strokes to the CPF at the junction of the new augmented KT/AT. This creates a more esthetic result and strengthens tissue junction.
Pressure on the whole surgical site aids in hemostasis and immobility if needed prior to pack placement, avoiding any dead space or blood clots that may hinder a healthy blood supply for vascularity of the newly placed graft and tissue. Surgical glue is used if necessary for additional stabilization, minding any subtissue leakage, which will impede healing. Thus, the whole site is tension free, with an increased vestibular depth and an increased zone of AT/KT without frenal/muscle hindrance, in addition to the potential of root coverage.
Traditional postoperative instructions are provided, and analgesics and anti-inflammatories are prescribed. Patients are followed at one- (pak removal), three- (suture removal) and six-week intervals for follow-up, as with traditional periodontal plastic procedures. Patients were asked to refrain from any mechanical hygiene techniques in the treated area for the three weeks following surgery and were prescribed 0.12 percent chlorhexidine mouthwash three to four times per day during the three weeks after the procedure.
Results
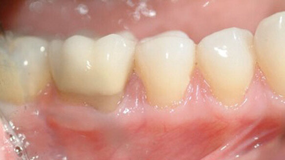
All patients demonstrated surgical results that had an improved and stable zone of attached and keratinized tissues with no evidence of muscle or frenal reattachment compromising the zone of KT. Most often, there was evidence of partial root coverage in Class III Miller recessions. The typical white “scar line” evidenced at the MGJ discussed in Sorrentino and Tarnow’s17 original paper is rarely seen in this one-staged procedure. Patients also found the procedure no more arduous than any other periodontal plastic procedure and, more often then not, the treatment was more comfortable than expected using the Er,Cr:YSGG laser for the initial incision.
The author has done this procedure in more than 100 cases with no untoward results and with great patient satisfaction.
Discussion
In recession studies available to review, Miller I and II recessions are the majority found in the literature. In one such study,[21] coronally advanced flaps were used for multiple teeth in the esthetic zone for root coverage and were noted to be stable at one year’s time with a statistically significant increase in the amounts of KT. Yet in another study by Gurgan,[49] after five years, 50 percent of these cases receded to the presurgical levels as surmised by using alveolar connective tissue as donor as opposed to gingival tissue as donor.
Research papers looking at both animal and human subjects demonstrate that altered gingival circulation and vitality, as determined by fluorescein angiography, show that more vascularity is associated with greater graft survival.[23] Hwang and Wang[24] also indicated that a positive association exists between weighted flap thickness and mean and complete root coverage.
Langer and Langer’s[25] technique used partial-thickness flap elevation to enhance revascularization of the graft, which was then stabilized on the recipient site using periosteal sutures. Raetszke,[19] however, advocated the use of the split-thickness envelope in isolated areas only, reporting difficulty in obtaining sufficient tissue for use in more extensive areas of recession. Surgically, though, the elevation of a partial-thickness flap can be arduous to perform, particularly in patients with a thin gingival biotype. A partial-thickness flap also reduces the KT tissue thickness; and mucosal flaps less than 1-mm thick have been correlated with a reduction in the percentage of root coverage in defects treated using coronally advanced flaps.[22,27]
Because bilaminar vascularity is required only to provide blood supply to a SCTG, a full-thickness CPF was used in this procedure.
Any chance of fenestration or dehiscense over the roots[26] remaining after a full-thickness CPF is compensated for by the FGG placed over these denuded sites, and historically that has proven to not be an issue[28,29] when grafts were placed straight onto the alveolar bone. No issues were observed due to coronally positioning a full-thickness flap vs. a partial-thickness flap,[26,29] and yet, the benefit of maintaining the full buccal lingual thickness of KT remains a huge asset.[20] Also, the elevation of a full- or partial-thickness flap did not appear to influence the amount of KT or the percentage of root coverage achieved post-surgically.[20]
Literature comparing the CPF vs. semilunar flaps showed that both designs were effective in obtaining and maintaining a coronal displacement of the gingival margin. The CPF resulted in clinical improvements significantly better than semilunar flaps for percentage of root coverage, frequency of complete root coverage and gain in clinical attachment level.[27]
A recent review[50] points out that aberrant frenal pulls are a contraindication to the traditional CPF/SCTG. Aberrant freni cannot be corrected at the time of surgery because incisions would compromise the blood supply available to the graft. When indicated, a frenectomy is scheduled four to six weeks prior to grafting.[15,50] The beauty of the single-stage laser CPF/FGG is that all aberrant frenal attachments are dealt with immediately in order not to compromise graft stability, microvasculatature from the recipient bed and graft longevity -— and thus future recession of the new donor tissue.
In another paper, Harris[10] treated 266 defects with connective tissue grafts associated with a coronally advanced or a double-papilla flap and reported that the average results of deep recessions ( 5 mm) were less favorable (87 percent vs. 95 percent), when connective tissue grafts were associated with a coronally advanced flap. Although these results were for Miller I and II recessions and showed better results then seen in the Miller III laser CPF/FGG procedure, they confirm limitations when recessions reach 5 mm.[30]
In the traditional SCTG + CPF without vertical releasing incisions, results in Miller III root coverage ranged from 1 to 3 mm (mean 1 ± 1.5); and Miller IV recessions ranged from 2 to 10 mm (mean 1.86 ± 0.14). The number of Class III and IV recessions were fewer than Class I and II recessions. Nevertheless, the authors noted that these type III/IV clinical situations can be improved with this procedure.[12]
It has also been shown that when CPF plus CTG versus CPF procedures for root coverage were compared, the two surgical procedures resulted in similar degree of root coverage, but the CPFs alone reverted to presurgical positions of the MGJ.[31] In addition, other long-term papers evaluating CPF with CTG all show that an apical rebound of the MGJ occurs, resulting in unstable root coverage and increased recession.[31,45,52] These findings may be explained by Ainamo et al.,[51] who reported that the MGJ will regain its original apical position over time, resulting in unstable root coverage – with a brand new MGJ re-established by adding keratinized FGG apically.
In a study comparing CPF techniques with and without the use of vertical releasing incisions, both were shown to be effective in reducing recession depth, but the envelope type of CAF was associated with an increased probability of achieving complete root coverage — and with a better postoperative course.
Keloid formation along the vertical releasing incisions was responsible for a poor esthetic outcome along with a longer healing period and a more uncomfortable postoperative course.[32] Complete root coverage has been shown to be more likely in Miller I and II type recessions, when marginal tissue recessions are shallower: 66 percent for an average attachment level of 3.81 mm, compared with 50 percent and 33.3 percent for mean attachment levels of 5.23 and 5.5 mm, respectively.[33,34] Glise and Monnet-Corti also reported that percentage of root coverage was inversely proportional to width and height of initial recession dimensions.[35] Thus, even though the literature indicates that Miller III and IV recessions have little probability of 100 percent root coverage, increasing the KT and AT can increase the longevity of a patient’s dentition. Even if only some slight root coverage (based on individual anatomy and physiology) is possible, this may be a significant improvement for the patient esthetically; and it also increases the chances of additional root coverage as a result of creeping attachment for the patient.[36]
The Er,Cr:YSGG laser is used here for the first time in surgical grafting procedures because it achieves a precision not possible with a surgical blade. Erbium lasers also have the unique ability to vaporize water-containing tissue because of its wavelength and provide a hemostatic effect to cauterize blood vessels.
What is clearly observed is that the Er:YSGG laser enables the operator to take a “microsurgical approach” — to finesse the marginal-tissue adaptation at the coronal edges along with “laser welding” the FGG-donor portion to the CPF portion of the surgical site and control the hemostasis without additional suturing. Pini Prato[37] showed that the gingival marginal position at the end of plastic surgery allowed for complete root coverage in Class I and Class II gingival recession defects, and applying this philosophy of treatment to the laser CPF/FGG will only enhance any probability of root coverage in Miller III/IV recession defects.
The elevation of a full- vs. partial-thickness flap does not appear to influence either the amount of keratinized tissue or the percentage of root coverage achieved post-surgically.[20] In fact, the thicker coronal tissue, allows an increase in blood supply, surgical anchorage and less tissue trauma with better potential root coverage.[38] Pedicle and envelope flaps are successful if the grafted tissues remain vital on the exposed dental avascular root surface, and soft-tissue healing is critically controlled by this vascularity.28,29 Most reaffirming was Romanos et al.[43] showing that the lateral bridging flap technique, designed similar to this paper’s CPF, exhibited the most stable location of the repositioned MGJ, which was 2-3 mm coronally over five to eight years, with stable root coverage and gingival margins.
Of further interest is that treatment success is more predictable, with limited interproximal bone loss and undamaged interproximal soft tissue.[5,39]
Gurgan commented that tooth location, vestibular depth, and muscular and frenum insertions may affect wound stability once a flap is advanced.[50]
Fombellida analyzed the significance of the “vascular supply” as a critical factor on the prediction of root coverage success; a positive balance between the vascularized and nonvascularized areas of the surgical field yields better results in terms of root coverage, even in those less favorable cases, such as Miller Class III recessions.[40]
Conclusions
Clinicians all too often are faced with the request: “Can you not do something to cover these teeth?” Many times the concern is not related to sensitivity but rather that of esthetics, after recession has increased over a period of time for a patient on a stable maintenance schedule. Once the periodontal health was assessed to be stable, the remaining compromised zone of KT/AT and the location of the muscle/frenal attachment often appeared to play a role in progressive recession. Thus, the single-staged laser CPF/FGG was developed and completed in more than 100 patients — and was reported to be a comfortable procedure with an esthetic improvement. Additionally, there have even been documented areas of root coverage in Miller III and IV situations and, over the years, some “creeping attachment” has been documented.[36]
Additional investigation through a prospective clinical study with volumetric methodology44 needs to be done to assess the statistical significance of increases in KT and root-coverage results of this new procedure — or with the adjunct of tissue engineering and biological adjuncts, such as enamel matrix derivative, PRP (platelet rich plasma) or PRF (platelet rich fibrin).[41]
The CAF procedure is effective in the treatment of gingival recessions. However, recession relapse and reduction of KT occurred during follow-up periods without any FGG adjunct.[42] The baseline width of KT is a predictive factor for recession reduction when using the CAF technique. Thus the new single-staged laser CPF/FGG is an effective and predictable method to increase the zone of KT and AT width. The technique can also anecdotally be shown to increase root coverage in Miller III and IV cases and fulfills the need of the patient, while at the same time reducing the number of appointments and patient costs.
This article appeared in Implant Tribune Canada Edition, Vol. 4, No. 1, March 2016 issue. A list of references is available from the publisher on request.
Regeneration of bone tissue could greatly benefit people with jawbone deficiencies due to tooth loss, infection or trauma. While an ideal method of ...
NEW YORK, N.Y., USA: Next year, AACD 2016 is jumping the border — to Toronto. Already coming together, the lineup of progressive, innovative ...
MONTREAL, Canada: As the world increasingly comes to terms with the immense impact produced upon the environment by industrial capitalist societies, the ...
TORONTO, Ontario, CANADA: ClaroNav announced today (June 3, 2020) that it has obtained Health Canada and CE Mark approvals to expand the indications for use...
ATHENS, Greece: The ROOTS SUMMIT team is excited to invite dental professionals to submit their presentations for inclusion in the dynamic scientific ...
Over the last decade, the impact of technology on dentistry has increased significantly.1 This impact has been well documented in the field of ...
Dr. Mario Brondani, a dentistry professor at the University of British Columbia (UBC), has received a grant of $67,000 from Genome BC to create structural ...
Online registration is now open for the 2017 Pacific Dental Conference. The annual meeting will be March 9 to 11 in Vancouver, British Columbia, at the ...
TORONTO, Ontario, CANADA: Azento single tooth replacement solution is transforming the digital implant workflow by streamlining implant planning, purchasing...
ATHENS, Greece: The ROOTS SUMMIT organisers are pleased to announce that online registration for the endodontic meeting is now open. This highlight event ...
Live webinar
Tue. 26 May 2026
12:00 PM EST (Toronto)
Live webinar
Tue. 26 May 2026
2:00 PM EST (Toronto)
Live webinar
Wed. 27 May 2026
8:00 AM EST (Toronto)
Live webinar
Thu. 28 May 2026
12:00 PM EST (Toronto)
Dr. Anthony Viazis DDS, MS. Inventor & Founder of Fastbraces®
Live webinar
Mon. 1 June 2026
1:00 PM EST (Toronto)
Live webinar
Wed. 3 June 2026
1:00 PM EST (Toronto)
Live webinar
Thu. 4 June 2026
2:00 PM EST (Toronto)
To post a reply please login or register