Search Dental Tribune

Dental News

Filter

Ma Rowena Balleza, DMD: Doing well by doing good

It was simple curiosity that prompted Ma Rowena Balleza, DMD, to accept an invitation from a surgeon to participate in a 2012 medical/dental mission to ...

save

Clinician monitors oral lesions in 3-D

Samson Ng, DMD, brings his stunning 3-D photography back to the Pacific Dental Conference this year after sharing some of the images from his extensive ...

save

Dr. Izchak Barzilay and Dr. Mariela Gonzalez: Doing well by doing good

As an educator at multiple dental schools, and with a Toronto-based practice in prosthodontics and implant dentistry, Dr. Izchak Barzilay is used to ...

save

Patient behaviour and dental treatment: ‘Meeting of the minds’

Dentistry is a highly skilled professional service. Its success is based on a multitude of clinical variables that need to be recognized, managed and ...

save

Canadian Army Dental Corps: Born 100 years ago of war

OTTAWA, Ontario, CANADA: World War I began on July 28, 1914, and lasted until Nov. 11, 1918. This year marks the centennial of the Canadian Army Dental ...

save

Schick 33: An eye-opening experience

I have a passion for technology, because it bridges the gap of communication between clinician and patient. This year, I decided to give myself something ...

save
advertisement

Expert lineup at Pacific Dental Conference

You can experience the true flavor of the West Coast — and earn C.E. credits at the same time — at the Pacific Dental Conference, March 5-7, in ...

save

Canadian dental laser company expands dealer network

MISSISSAUGA, Canada: Zolar Technology, a Canadian-based dental equipment manufacturer specializing in dental diode lasers, has announced that it is seeking ...

save

Canada’s dental hygienists elect new president

OTTAWA, Ontario, CANADA: The Canadian Dental Hygienists Association recently announced the installation of its new president, Mandy Hayre. The installation ...

save

Barrier protection is critical in dental professionals’ gloves

While caring for their patients, dental and health care professionals are constantly exposed to bodily fluids that may carry viruses and other infectious ...

save

Natural dentition: Risk of extinction?

During the past few years, there appears to be an increase in continuing education. Many of the courses are about implant dentistry. The conventional ...

save

Storing ortho models digitally saves space, dollars

The concept of digital study models has often been talked about — particularly in orthodontic circles — as a solution to the considerable ...

save
advertisement

Storing ortho models digitally saves space, dollars

The concept of digital study models has often been talked about — particularly in orthodontic circles — as a solution to the considerable physical space...

save

Dentistry’s future is digital: Don’t be left behind

I regretted one thing when our practice switched from film X-rays to digital X-rays: I wish we had done it sooner. To say that we gained return on our ...

save

Hygienists now self-regulated in Newfoundland, Labrador

Dental hygienists in Newfoundland and Labrador are now self-regulating under the Health Professions Act through a shared regulating responsibility with the ...

save

Digital radiography system takes clarity, ease to new level

I have a passion for technology, because it bridges the gap of communication between clinician and patient. This year, I decided to give myself something ...

save
advertisement

Ensure earnings capability with ergonomic seating

The list is disturbing: fatigue; injury problems; serious neck, upper-back and shoulder pain; and posture so poor that it affects general physical ...

save

Advances in dentistry: At what cost and ... worth it?

There have been many advances in dentistry during the past 10 years. Some can be considered improvements for the betterment of patient services, others are ...

save

Today’s successful practice has a chief operations officer. Do you?

In today’s world, dentists have to be savvy businesspeople as well as excellent clinicians. Organizing a successful dental practice has become more ...

save

Winter Clinic: New venue, new opportunities

Acting on industry feedback, and the dynamics of market changes, the Toronto Academy of Dentistry has taken a giant step to evolve the Winter Clinic to a ...

save
advertisement

University of Miami fellowship in implant dentistry offered in Canada

MIS Implants Canada is collaborating with the University of Miami to bring to Canada the “Fellowship in Implant Dentistry” from the University ...

save

Caries accounts for one-third of day surgeries for preschoolers

Although most Canadian children are treated for caries in community-based dental offices or clinics, a significant number of young children who do not ...

save
advertisement

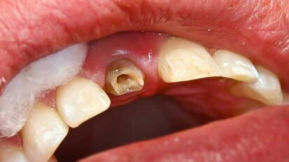
Endodontic irrigants and irrigant delivery systems

Endodontic treatment is a predictable procedure with high success rates. Success depends on a number of factors, including appropriate instrumentation, ...

save

Canadian Academy of Pediatric Dentistry meeting to focus on the ‘uncharted’

OTTAWA, Ontario, CANADA: The Canadian Academy of Pediatric Dentistry (CAPD/ACDP) is using its annual meeting this year to focus on commonly encountered but ...

save

Interview: ‘It is a time of unprecedented change in our profession’

NEW YORK, N.Y., USA: Robert S. Roda, DDS, MS, was installed as president of the American Association of Endodontists during AAE’s annual session, held...

save

Zendo Direct founder: Company brings value to endodontic practices

The concept of “value” has been defined as the worth of a good or service as determined by people’s preferences. And yet with dentists, ...

save
advertisement

Implant site preservation using a novel post and crown

Implant site preservation is an important component of diagnosis and treatment planning. Through CAD (computer aided design), prosthesis can be designed ...

save

Toronto Academy of Dentistry Winter Clinic moves to new downtown venue

TORONTO, Ontario, Canada: The 77th Annual Winter Clinic is on the move, with its 2014 meeting day scheduled for Friday, Nov. 14, at the Toronto Sheraton ...

save

Canadian children most in need of dental care are least likely to receive it

TORONTO, Ontario, Canada: Less than one per cent of healthy urban children surveyed in Toronto had received dental care by the recommended age of 12 months ...

save

Academy recognizes Dr. David Vassos for ‘Lifetime Achievement’

David Vassos, DDS, of Edmonton, Alberta, was honored for his achievements as an implant dentist at the American Academy of Implant Dentistry’s Western...

save
advertisement
advertisement